
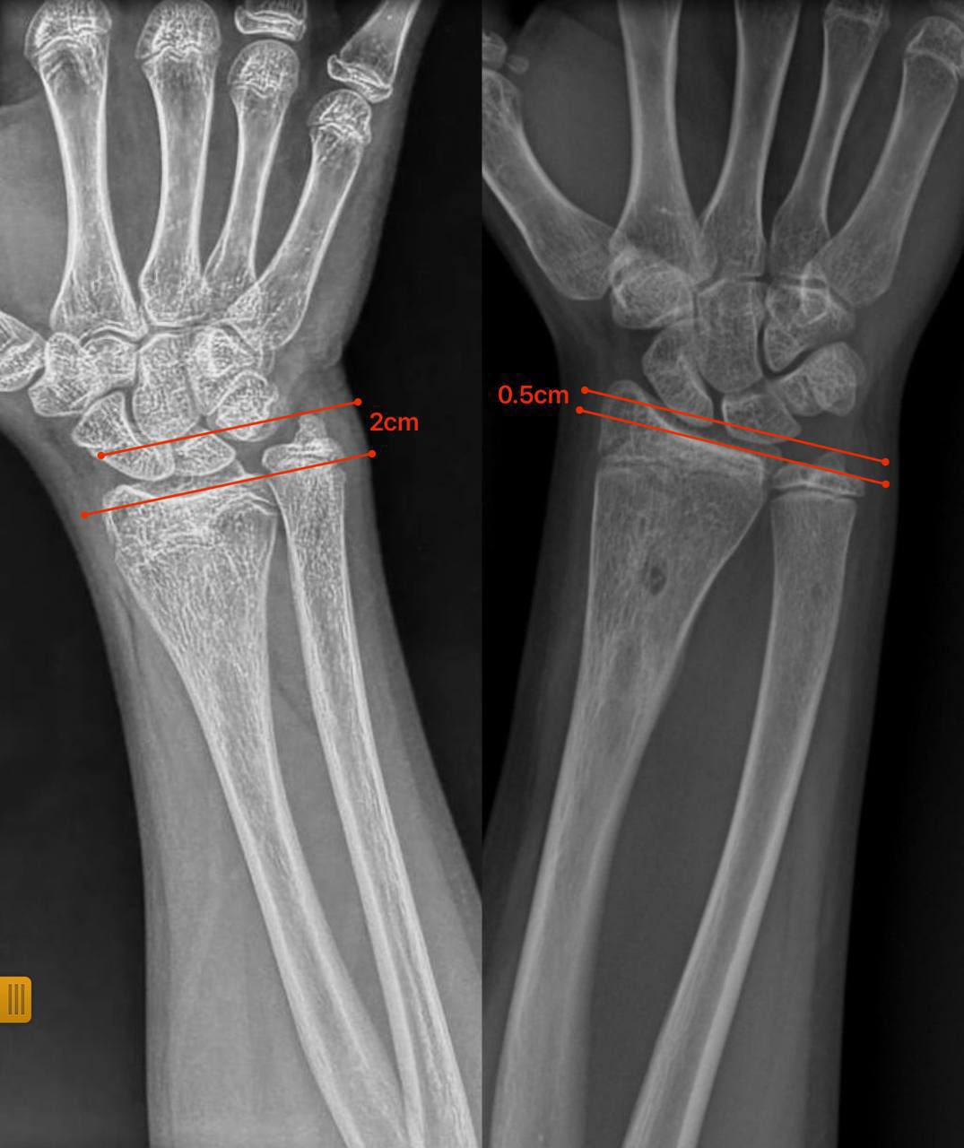
В ортопедо-травматологічному відділенні Закарпатської обласної дитячої лікарні успішно провели малотравматичну операцію 12-річній дівчинці з післятравматичною деформацією передпліччя. Через травму в неї утворився кістковий місток, який заблокував ріст кістки та спричинив її викривлення. Під час втручання лікарі ендоскопічно видалили кістковий місток, без остеотомій та встановлення металоконструкцій. Уже за сім місяців ріст кістки нормалізувався, форма передпліччя відновилася, а рухливість кінцівки збережена.

Честь і хвала 16.11.2025 / 11:01:34
Молодці лікарі! Добре б було оприлюднити їх призвіща.
Такі випадки заслуговують на медіалізацію.